
濃痰塞爆下肺葉支氣管,8週「肺復原氣道清潔計劃」學自我照護
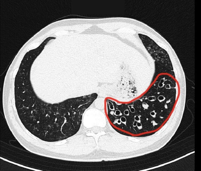
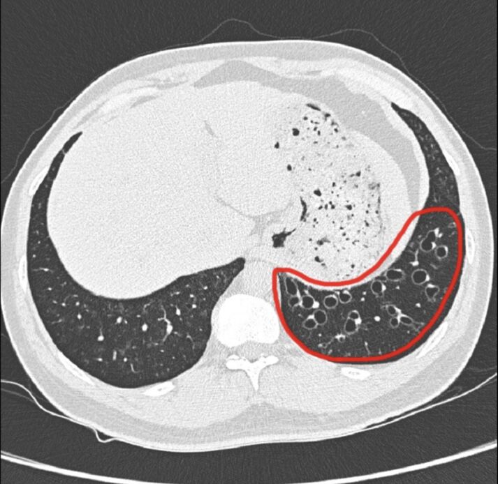
由於支氣管擴張是「不可逆」的變化,且感染造成的擴張最常發生在下肺葉,因此治療上最重要的關鍵,就是把支氣管裡的痰「盡量清乾淨」,減少感染機會,避免病情惡化、擴張範圍再擴大。
目前,臺中榮總呼吸道疾病整合照護中心,針對支氣管擴張症等慢性呼吸道疾病的病友,開設了「肺復原氣道清潔」計畫。一期為8週,每週上課一次,每堂課50到70分鐘,內容著重「自我照護」,包含呼吸運動、暖身運動、有氧運動、緩和運動、咳痰訓練、姿位引流等。
目標在於讓病友更了解怎麼訓練身體的大肌肉群,強化心肺能力,更輕鬆把痰咳出、擁有順暢呼吸。更重要的是,學會這套技巧後能融入日常生活,在家、開車、在辦公室都能自己操作,不需常常請假跑醫院,大幅降低對工作與生活的衝擊。舉例來說,如果要讓下方肺葉的濃痰順利咳出:
- 第一步,稀釋:吸生理食鹽水的蒸氣、支氣管擴張劑,讓濃痰稀釋溼化,不再那麼黏稠。
- 第二步(震動): 穿上特製的「電動高頻率胸壁震盪背心」,同時吹手握的「震盪式呼氣正壓除痰器」,利用雙重震動,把痰由下而上,從小的支氣管往大的支氣管移動。
- 第三步(排出): 運用「姿位引流」與呼吸運動,順利把痰輕鬆咳出來。
3至6個月痰液顯著減少,濃痰、胸悶、喘一起改善
如果能夠持之以恆,早晚各做一次「肺復原氣道清潔」,約3到6個月,就能從電腦斷層的影像中,清楚看到已經擴張的支氣管內痰液,顯著減少。同時相關的症狀,像是濃痰、喘、胸悶,也能有明確的症狀改善。
這套計畫不只適用於支氣管擴張症,還包括肺阻塞 (COPD)、肺纖維化 (俗稱菜瓜布肺),以及肌無力的病友,都能從中受益。
黃偉彰主任也提醒,目前正值流感季,上述這三大慢性呼吸道疾病的病友,應依照疾病管制署的建議,該打的疫苗都要打,包括流感疫苗、肺炎鏈球菌疫苗等。
年紀輕輕就確診支氣管擴張症的Albert分享,病情嚴重時他曾一早被濃痰噎到無法賴床,而自己每年都會打流感疫苗,以減少感染機會。自從半年前加入臺中榮總的「肺復原氣道清潔」計畫、並持續在家執行,現在是拿慢性處方箋,每3個月回診一次即可,目前病情控制良好,痰量少很多,也能順利咳出,不再卡濃痰或動不動就發燒,生活品質大幅提升,運動、出國玩都沒問題,總算不再被濃痰綁架了!


看了這篇文章的人,也看了…
